超过 50% 的动脉阻塞斑块内都发现了塑料
2024-07-29 17:21:20
•
来源:
导读如今塑料无处不在,在人体的几个主要器官中都能发现塑料的微小碎片,包括胎盘。鉴于微粒如此容易渗入我们的组织,我们必须确切了解它们可能...
如今塑料无处不在,在人体的几个主要器官中都能发现塑料的微小碎片,包括胎盘。

鉴于微粒如此容易渗入我们的组织,我们必须确切了解它们可能对我们的健康造成哪些风险。
研究人员一直在忙于研究微塑料在器官微型复制品和小鼠中的影响,以了解它们对人体的影响。然而,这些研究中使用的微塑料浓度可能无法反映人们在现实世界中的暴露情况,而且很少有研究是在人类身上进行的。
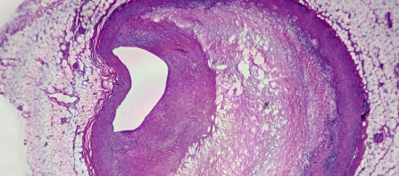
今年 3 月,意大利的一项小型研究发现,在接受动脉疏通手术的患者体内切除的脂肪沉积物中,发现了微塑料碎片,并在近 3 年后报告了他们的健康状况。
通过颈动脉内膜切除术去除狭窄动脉中的脂肪斑块可以降低未来中风的风险。
这项最新研究由那不勒斯坎帕尼亚大学医学研究员拉斐尔·马尔菲拉 (Raffaele Marfella) 领导,研究团队希望了解斑块中含有微塑料的患者与不含微塑料的患者之间中风、心脏病发作和死亡的风险有何不同。
研究人员对 257 位患者进行了为期 34 个月的跟踪调查,发现其中近 60% 的患者在从脂肪增厚的动脉中提取的斑块中可测量到聚乙烯含量,12% 的患者在提取的脂肪沉积物中还含有聚氯乙烯 (PVC)。
PVC有硬质和软质两种形式,用于制造水管、塑料瓶、地板和包装。聚乙烯是最常见的塑料,也用于制造塑料袋、薄膜和瓶子。
免责声明:本文由用户上传,如有侵权请联系删除!

